English China

Häufige Demenz-Ursache Bluthochdruck: Mini-Verletzungen im Gehirn bremsen das Denken

Quelle: Pressemitteilung Max-Planck-Gesellschaft 2 min Lesedauer

Anbieter zum Thema

Bluthochdruck ist der stärkste Risikofaktor für Veränderungen am Gefäßsystem des Gehirns. Unbemerkte Läsionen im Gehirn sind wiederum eine häufige Ursache für Demenzen. Die Gehirne der Betroffenen verarbeiten Informationen oft langsamer. Die Verletzungen können bereits ab dem vierzigsten Lebensjahr im MRT sichtbar werden, was Möglichkeiten zur Prävention eröffnet.

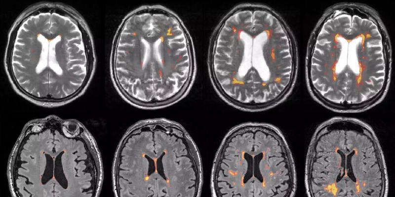
Läsionen treten an typischen Orten im Gehirn auf.(Bild:  © MPI CBS)
Läsionen treten an typischen Orten im Gehirn auf.
(Bild: © MPI CBS)

Bluthochdruck und ein hoher Body-Mass-Index (BMI) sind die stärksten Risikofaktoren für die Entstehung von Läsionen im Gehirn.„Aktuell gibt es keine Therapie für diese Läsionen, obwohl sie ein großer Risikofaktor für Schlaganfall und Demenz sind“, sagt Frauke Beyer, vom Max-Planck-Institut für Kognitions- und Neurowissenschaften, Leipzig, die Erstautorin der Studie. Um herauszufinden, wie man schon bestehende Medikamente anwenden könnte, war es den Forscherinnen wichtig, erst einmal zu verstehen, welche Faktoren für die Entstehung der Läsionen an unterschiedlichen Orten im Gehirn eine Rolle spielen. Dafür haben sie DNA- und Blutproben der Studienteilnehmerinnen und -teilnehmer aus Deutschland und Frankreich untersucht. Außerdem mussten diese Denkaufgaben lösen und dafür im Magnetresonanztomografen (MRT) liegen.

Mehr Prävention möglich: Läsionen bereits in jüngerem Alter sichtbar

„Wir haben herausgefunden, dass Läsionen an typischen Orten im Gehirn auftreten, vermutlich weil ihnen unterschiedliche Mechanismen zugrunde liegen. Bei Läsionen um die Ventrikel herum spielt besonders Bluthochdruck eine Rolle, und bei Läsionen in der tiefen weißen Substanz vermuten wir einen Zusammenhang mit der Ablagerung von Amyloid in den Gefäßwänden, einem auch bei Alzheimer auftretenden Protein”, erklärt Frauke Beyer. Da diese Läsionen schon ab dem vierzigsten Lebensjahr sichtbar werden können, könnte man hier präventiv mehr tun, so die Forscherin.

Bluthochdruck als tückischer Risikofaktor für Demenz

„Bluthochdruck ist der konsistenteste und bei weitem stärkste Risikofaktor für die Entstehung der Läsionen, den wir gefunden haben – ebenso ein höherer BMI. Tückisch ist, dass die Schädigung des Gefäßssystems ein schleichender Prozess ist. Die Gehirne der Betroffenen verarbeiten Informationen im Alltag oft langsamer als normalerweise, aber ansonsten merken sie oft nichts davon.“ Die Wissenschaftlerinnen wollen nun in Folgestudien herausfinden, welche genetischen Faktoren den Läsionen an den verschiedenen Orten im Gehirn zugrunde liegen könnten. Dies könnte in Zukunft gezielte Therapien ermöglichen.

Originalpublikation: Beyer F, Tsuchida A, Soumaré A, Rajula HSR, Mishra A, Crivello F, Proust-Lima C, Loeffler M, Tzourio C, Amouyel P, Villringer A, Scholz M, Jacqmin-Gadda H, Joliot M, Witte AV, Dufouil C, Debette S. White matter hyperintensity spatial patterns: Risk factors and clinical correlates. Alzheimers Dement. 2025 Apr;21(4):e70053. doi: 10.1002/alz.70053. PMID: 40189793; PMCID: PMC11972985.

(ID:50387609)

Jetzt Newsletter abonnieren

Verpassen Sie nicht unsere besten Inhalte

Mit Klick auf „Newsletter abonnieren“ erkläre ich mich mit der Verarbeitung und Nutzung meiner Daten gemäß Einwilligungserklärung (bitte aufklappen für Details) einverstanden und akzeptiere die Nutzungsbedingungen. Weitere Informationen finde ich in unserer Datenschutzerklärung. Die Einwilligungserklärung bezieht sich u. a. auf die Zusendung von redaktionellen Newslettern per E-Mail und auf den Datenabgleich zu Marketingzwecken mit ausgewählten Werbepartnern (z. B. LinkedIn, Google, Meta).

Aufklappen für Details zu Ihrer Einwilligung