Gehörknöchelchen im Röntgenlicht (Wissenschaftsbild des Tages)
Verletzungen und Schäden im Gehirn galten lange als unheilbar, da abgestorbene Neuronen sich nicht regenerieren. Forschende der Universität Zürich haben nun herausgefunden, dass die Transplantation neuraler Stammzellen in der Lage ist, Schäden nach einem Schlaganfall in Mausgehirnen zu reparieren.
Bei den untersuchten Mäusen regenerierten sich Neuronen nach einer Stammzelltransplantation, wodurch sich die Motorik der Tiere verbesserte. Christian Tackenberg, Wissenschaftlicher Leiter im Bereich Neurodegeneration an der Universität, weist dennoch darauf hin, dass weitere Untersuchungen notwendig sind, bevor dieser Ansatz in der klinischen Praxis angewendet werden kann.
Dabei wurden die Stammzellen so hergestellt, dass sie für potenzielle Anwendungen beim Menschen geeignet sind. Erste klinische Studien, die auf ähnlichen Ansätzen beruhen, finden bereits statt, was Hoffnung auf künftige Behandlungsoptionen weckt. Tackenberg und sein Team arbeiten weiterhin daran, die Sicherheit der Methode zu erhöhen, um Risiken zu minimieren und die Durchführbarkeit zu verbessern.
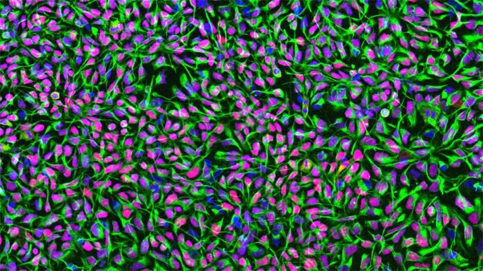
Das Bild zeigt humane neurale Stammzellen in Kultur. Zellkerne sind in Blau gefärbt, das neuralstammzellspezifische Filamentprotein Nestin erscheint in Grün, und der neuralstammzellspezifische Transkriptionsfaktor Sox1 ist in Rot dargestellt.
Hier gehts zur Originalmeldung
Wissenschaftsbild des Tages vom 25.9.2025 (Bild: University of Zurich)

