Gehörknöchelchen im Röntgenlicht (Wissenschaftsbild des Tages)
Eine Studie von Scripps Research zeigt, dass zwei „Kraftsensoren“ namens PIEZO1 und PIEZO2 die Wehen steuern. PIEZO1 sitzt in der Gebärmuttermuskulatur und spürt den Druck einer Wehe, PIEZO2 liegt in Nerven von Muttermund und Scheide und reagiert auf Dehnung durch das Baby; zusammen geben sie Signale, damit die Muskulatur im Rhythmus und im Team arbeitet.
In Mausversuchen, bei denen diese Sensoren gezielt ausgeschaltet wurden, waren die Wehen schwächer und die Geburt verzögert; außerdem sank ein Verbindungsprotein (Connexin 43), das die Muskelzellen koordiniert. Menschliches Gewebe zeigte ähnliche Muster. Das erklärt, warum eine sehr starke Nervenbetäubung die Geburt verlangsamen kann. Langfristig könnten Medikamente, die PIEZO-Signale dämpfen oder verstärken, Wehen bei Frühgeburt bremsen oder bei Geburtsstillstand anregen – im Zusammenspiel mit Hormonen wie Progesteron.
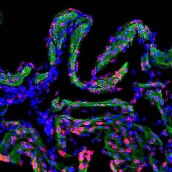
Auf dem Bild zu sehen sind Gja1-Transkripte in der Gebärmuttermuskulatur der Maus gegen Ende der Schwangerschaft (Trächtigkeitstag 18,5). Gja1 kodiert für Connexin 43, ein Protein, dessen Menge in dieser Phase zunimmt und das die Koordination der Uteruskontraktionen unterstützt. Grün zeigt glatte Muskelfasern der Gebärmutter, Rot markiert Gja1 mRNA, und Blau zeigt Zellkerne.
Hier gehts zur Originalmeldung
Wissenschaftsbild des Tages vom 18.11.2025 (Bild: Scripps Research)

