Tumore haben durch die moderne Medizin schon viel von ihrem Schrecken verloren. Doch sie sind immer noch ein mitunter tödliches Risiko für die Patienten. Um Strahlentherapie wirksamer zu gestalten, entwickeln Forscher der Empa Nanopartikel, mit denen sich Krebszellen leichter behandeln lassen.
Lukas Gerken will die klinische Anwendung von Metalloxid-Nanopartikeln in der Strahlentherapie voranbringen.
(Bild: Empa)
St. Gallen/Schweiz – Bei einer Krebserkrankung stehen heute verschiedene Behandlungsmethoden zur Verfügung, die sich ergänzen können. Häufig angewendet wird die Strahlentherapie, die etwa mit einer Operation und einer Chemotherapie kombiniert werden kann. Zwar wird die Behandlung mit ionisierenden Strahlen seit über 100 Jahren in der Medizin eingesetzt, doch auch die moderne Onkologie ist zuweilen nicht zufrieden mit ihrer Wirksamkeit. Der Grund: Die bösartigen Tumore reagieren nicht immer empfindlich genug auf die Strahlung. „Könnte die Empfindlichkeit der Tumorzellen gesteigert werden, ließe sich die Radiotherapie wirksamer und schonender ausführen“, sagt Lukas Gerken, Forscher an der Empa und der ETH Zürich.
Ein erwünschtes Behandlungsziel könnte dann mit einer niedrigeren Strahlendosis als derzeit üblich erreicht werden, und besonders strahlungsresistente Tumore würden sogar endlich überhaupt empfindlich für eine Bestrahlung. Das Team um Gerken und Inge Herrmann vom „Particles-Biology Interactions Laboratory“ der Empa und dem „Nanoparticle Systems Engineering Laboratory“ der ETH Zürich sucht daher gemeinsam mit Onkologen am Kantonsspital St. Gallen nach Wegen, um Tumorzellen für die Bestrahlung zu sensibilisieren.
Bildergalerie
Die Forscher haben Nanopartikel aus Metalloxiden ins Visier genommen, die als so genannte Radio-Sensitizer wirken können, also als Hilfsmittel, um Zellen anfälliger gegenüber der Bestrahlung zu machen. Dem Team ist es nun gelungen, diese Radiosensitizer in großen Mengen herzustellen und ihre Wirkung zu analysieren.
Kiloweise Nanopartikel herstellen
In der Krebsforschung laufen derzeit Studien mit verschiedenen Stoffklassen, um die Bestrahlung von Tumoren effizienter zu machen. Wie genau hierbei Nanopartikel aus Gold oder aus exotischeren Metalloxiden wie Hafniumdioxid wirken, ist noch nicht völlig geklärt. Bekannt ist, dass eine komplexe Reaktionskaskade oxidativen Stress in den Krebszellen ausübt. Auf diese Weise lassen sich möglicherweise die Reparaturmechanismen der bösartigen Zellen überwältigen.
Damit die Nanopartikel für die klinische Anwendung bereitgestellt werden können, mussten zunächst zwei Hürden überwunden werden: Die Herstellung über konventionelle Nasschemie-Verfahren erschwert die Produktion von Mengen im industriellen Maßstab, und es mangelt an vergleichenden Analysen zur Wirksamkeit verschiedener Substanzen.
Empa-Forscher Gerken ist es nun gelungen, Metalloxid-Radiosensitizer mit einer Methode herzustellen, die sich für die industrielle Anwendung eignet: Er setzte auf die Flammensynthese, um Oxide aus Hafnium, Zirconium und Titan in höchster Qualität zu gewinnen. „Dank der Herstellungsart können – je nach Anlage – sogar mehrere Kilogramm am Tag synthetisiert werden“, sagt Gerken. Für die Laboranalysen an der Empa begnügte sich der Wissenschaftler allerdings mit einigen Gramm.
Warum Hafnium besser ist als Gold
Nachdem die Nanopartikel in geeigneten Mengen vorlagen, durchleuchtete der Forscher sie, etwa mittels Röntgenspektroskopie und Elektronenmikroskopie. Sein Urteil: „Wir können sterile, qualitativ hochwertige Metalloxid-Nanopartikel erzeugen, die für gesunde Körperzellen ungefährlich erscheinen.“ Bewiesen hat er dies mithilfe von Zellkulturen, die er mit unterschiedlichen Nanopartikel-Suspensionen im Labor behandelte. Die Metalloxide sammelten sich dabei in großen Mengen innerhalb der Zellen an. Spitzenreiter war dabei Hafniumdioxid: Hier gelangten eine halbe Milliarde Nano-Partikel in jede einzelne Zelle, ohne dabei toxische Effekte zu zeigen. Im Vergleich zu den Metalloxiden machte reines Nanogold bei gleicher Partikelgröße einen deutlich schlechteren Schnitt: Etwa 10- bis 30-mal weniger Goldteilchen schafften es ins Zellinnere.
Hafnium
Das chemische Element Hafnium ist nach seinem Entdeckungsort Kopenhagen (lat. Hafnia) benannt. Der Chemiker und Nobelpreisträger George de Hevesy und der Physiker Dirk Coster haben das Element aus der Titan-Gruppe 1923 nachgewiesen –mittels Röntgenspektroskopie – nachdem diverse Wissenschaftler wie der Nobelpreisträger Niels Bohr dessen Existenz zuvor lediglich vermutet hatten.
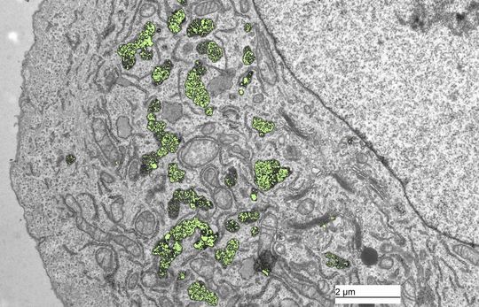
Im Zellinnern: Nanopartikel aus Hafniumdioxid (eingefärbt) sammeln sich in den Krebszellen an und können nach Bestrahlung Zellschaden anrichten.
(Bild: (Elektronenmikroskopie, nachkoloriert) Bild: Empa/ ETH Zürich)
Hafnium kommt normalerweise nicht im menschlichen Körper vor und ist ungiftig. In der Onkologie hofft man auf die unterstützende Wirkung von Hafnium bei der Krebsbehandlung. Erste klinische Studien wurden bereits erfolgreich abgeschlossen.
So ungefährlich die Substanzen zunächst für die gesunden Zellen sind, so kraftvoll entfalten sie ihre Wirkung, wenn sie bei einer Bestrahlung eingesetzt werden. Dies demonstrierte das Team anhand von Krebszelllinien. Wurden die Zellkulturen mit Metalloxiden behandelt und danach mit Röntgenstrahlen beschossen, verstärkte sich der abtötende Effekt deutlich. Hafniumdioxid entpuppte sich als das potenteste Hilfsmittel: Tumorzellen, die mit Hafnium-Partikeln behandelt wurden, konnten schon mit weniger als der halben Strahlendosis beseitigt werden. Diese erste Vergleichstudie zeigte außerdem, dass Hafniumdioxid sogar viermal besser als Nanogold und Titandioxid wirkt. Gesunde menschlichen Zellen (so genannte Fibroblasten) zeigten hingegen keine negativen Bestrahlungseffekte nach einer Nanopartikel-Behandlung.
Stand: 08.12.2025
Es ist für uns eine Selbstverständlichkeit, dass wir verantwortungsvoll mit Ihren personenbezogenen Daten umgehen. Sofern wir personenbezogene Daten von Ihnen erheben, verarbeiten wir diese unter Beachtung der geltenden Datenschutzvorschriften. Detaillierte Informationen finden Sie in unserer Datenschutzerklärung.
Einwilligung in die Verwendung von Daten zu Werbezwecken
Ich bin damit einverstanden, dass die Vogel Communications Group GmbH & Co. KG, Max-Planckstr. 7-9, 97082 Würzburg einschließlich aller mit ihr im Sinne der §§ 15 ff. AktG verbundenen Unternehmen (im weiteren: Vogel Communications Group) meine E-Mail-Adresse für die Zusendung von redaktionellen Newslettern nutzt. Auflistungen der jeweils zugehörigen Unternehmen können hier abgerufen werden.
Der Newsletterinhalt erstreckt sich dabei auf Produkte und Dienstleistungen aller zuvor genannten Unternehmen, darunter beispielsweise Fachzeitschriften und Fachbücher, Veranstaltungen und Messen sowie veranstaltungsbezogene Produkte und Dienstleistungen, Print- und Digital-Mediaangebote und Services wie weitere (redaktionelle) Newsletter, Gewinnspiele, Lead-Kampagnen, Marktforschung im Online- und Offline-Bereich, fachspezifische Webportale und E-Learning-Angebote. Wenn auch meine persönliche Telefonnummer erhoben wurde, darf diese für die Unterbreitung von Angeboten der vorgenannten Produkte und Dienstleistungen der vorgenannten Unternehmen und Marktforschung genutzt werden.
Meine Einwilligung umfasst zudem die Verarbeitung meiner E-Mail-Adresse und Telefonnummer für den Datenabgleich zu Marketingzwecken mit ausgewählten Werbepartnern wie z.B. LinkedIN, Google und Meta. Hierfür darf die Vogel Communications Group die genannten Daten gehasht an Werbepartner übermitteln, die diese Daten dann nutzen, um feststellen zu können, ob ich ebenfalls Mitglied auf den besagten Werbepartnerportalen bin. Die Vogel Communications Group nutzt diese Funktion zu Zwecken des Retargeting (Upselling, Crossselling und Kundenbindung), der Generierung von sog. Lookalike Audiences zur Neukundengewinnung und als Ausschlussgrundlage für laufende Werbekampagnen. Weitere Informationen kann ich dem Abschnitt „Datenabgleich zu Marketingzwecken“ in der Datenschutzerklärung entnehmen.
Falls ich im Internet auf Portalen der Vogel Communications Group einschließlich deren mit ihr im Sinne der §§ 15 ff. AktG verbundenen Unternehmen geschützte Inhalte abrufe, muss ich mich mit weiteren Daten für den Zugang zu diesen Inhalten registrieren. Im Gegenzug für diesen gebührenlosen Zugang zu redaktionellen Inhalten dürfen meine Daten im Sinne dieser Einwilligung für die hier genannten Zwecke verwendet werden. Dies gilt nicht für den Datenabgleich zu Marketingzwecken.
Recht auf Widerruf
Mir ist bewusst, dass ich diese Einwilligung jederzeit für die Zukunft widerrufen kann. Durch meinen Widerruf wird die Rechtmäßigkeit der aufgrund meiner Einwilligung bis zum Widerruf erfolgten Verarbeitung nicht berührt. Um meinen Widerruf zu erklären, kann ich als eine Möglichkeit das unter https://contact.vogel.de abrufbare Kontaktformular nutzen. Sofern ich einzelne von mir abonnierte Newsletter nicht mehr erhalten möchte, kann ich darüber hinaus auch den am Ende eines Newsletters eingebundenen Abmeldelink anklicken. Weitere Informationen zu meinem Widerrufsrecht und dessen Ausübung sowie zu den Folgen meines Widerrufs finde ich in der Datenschutzerklärung, Abschnitt Redaktionelle Newsletter.
Die Ergebnisse machen Gerken zuversichtlich: „Wir werden diesen Weg weiterverfolgen, um den Wirkmechanismus der Nanopartikel zu erforschen und ihre Effizienz weiter zu optimieren.“ Er hofft, dass seine Studien so die klinische Anwendung von Nanopartikeln bei der Bestrahlungstherapie voranbringen.
* A. Six, Empa Eidgenössische Materialprüfungs- und Forschungsanstalt, 8600 Dübendorf/Schweiz