Hämatologen analysieren routinemäßig Blutausstriche, um Anomalien und Parasiten zu erkennen und die Morphologie der Blutzellen zu bestimmen. Verschiedene Färbemethoden und Mikroskopietechniken unterstützen dabei die detaillierte Untersuchung und Diagnose von Bluterkrankungen.
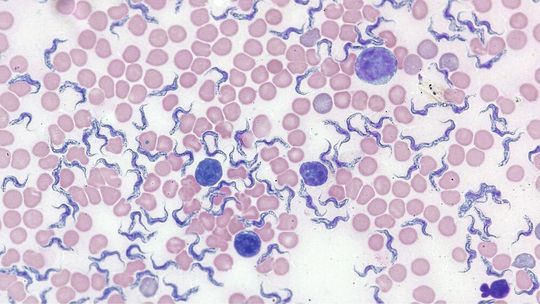
Abb.1: Repräsentatives Bild eines Blutausstriches im Hellfeld, aufgenommen mit dem Lichtmikroskop ZEISS Axiolab 5.
(Bild: Carl Zeiss Mikroskopie)
Die Hämatologie, ein zentraler Zweig der Labordiagnostik, beschäftigt sich mit dem Erkennen und Behandeln von Blutkrankheiten sowie der Untersuchung der blutbildenden Organe. Die Mikroskopie spielt dabei eine wesentliche Rolle. Hierzu untersuchen Hämatologen routinemäßig Ausstriche aus peripherem Blut auf Objektträgern, um Anomalien im Blut zu visualisieren, Blutparasiten zu erkennen und die morphologischen Eigenschaften der Blutzellen zu bestimmen. In diesem Artikel werden die grundlegenden Methoden und Techniken der mikroskopischen Analyse in der Hämatologie sowie ihre Bedeutung für die klinische Praxis beleuchtet.
Blut – Einblick in die Bestandteile und Funktionen
Blut ist eine Körperflüssigkeit, die eine Vielzahl von Aufgaben im menschlichen Körper erfüllt – darunter den Transport von Sauerstoff, Nährstoffen und Abfallprodukten sowie die Immunabwehr. Das Herz pumpt das Blut stetig durch den Körper, sodass alle Zellen mit lebenswichtigen Nährstoffen bzw. Sauerstoff versorgt werden. Sauerstoffreiches Blut wird durch die Arterien vom Herzen weg zu den unterschiedlichen Körperbereichen transportiert. Venen bringen das Blut zurück zum Herzen und zu den Lungen, wo es neuen Sauerstoff aufnehmen kann, der wiederum über die Arterien in den Körper verteilt wird. Darüber hinaus werden Kohlenstoffdioxid und andere Abfallprodukte der Zellaktivitäten zu den Lungen, den Nieren und dem Verdauungssystem transportiert, damit sie aus dem Körper ausgeschieden werden können. Blut hilft außerdem bei der Bekämpfung von Infektionen und transportiert Hormone durch den Körper.
Was ist Blut?
Blut besteht aus den Blutzellen, also festen Bestandteilen, und einer flüssigen Interzellularsubstanz, dem Blutplasma. Das gelbliche Plasma macht etwa die Hälfte der Blutmenge aus. Es besteht zu 92 Prozent aus Wasser und enthält Nährstoffe wie Glukose, Proteine für die Blutgerinnung, Hormone und Abbauprodukte. Die andere Hälfte der Blutmenge besteht aus Blutzellen. Blutzellen lassen sich in drei Haupttypen unterteilen: rote Blutkörperchen (Erythrozyten), weiße Blutkörperchen (Leukozyten) und Blutplättchen (Thrombozyten). Erythrozyten sind für den Sauerstofftransport verantwortlich, während Leukozyten Teil des Immunsystems sind und Thrombozyten eine zentrale Rolle bei der Blutgerinnung spielen. Ein Ungleichgewicht oder Anomalien in diesen Zellen können auf schwerwiegende Erkrankungen hinweisen.
Die mikroskopische Untersuchung in der Hämatologie
Die Untersuchung von Blut mittels Mikroskopie ist eine grundlegende Methode in der hämatologischen Diagnostik. Hämatologen erstellen routinemäßig Blutausstriche auf Objektträgern, um nach Abweichungen in der Zellmorphologie oder dem Vorhandensein von Parasiten zu suchen. Ein mikroskopisches Bild kann Informationen zu den Zelltypen liefern, die anhand ihrer Morphologie zu erkennen sind, sowie zur Menge und zur Zusammensetzung der Blutzellen. Um die verschiedenen Zelltypen in einem Monolayer zu erkennen und zu zählen, wird auf Lichtmikroskopie mit bis zu 1.000-facher Vergrößerung gesetzt. Die Ergebnisse werden mit einer Digitalkamera dokumentiert. Auf diese Weise können bestimmte Bluterkrankungen oder die Entwicklungsstadien von Parasiten visualisiert werden. In bestimmten Fällen wird die mikroskopische Untersuchung der peripheren Blutausstriche durch eine Knochenmarkuntersuchung ergänzt. Hierfür gibt es verschiedene wichtige Mikroskopietechniken, u. a. Hellfeld, Dunkelfeld, DIC, Fluoreszenz, Immunzytochemie und Immunhistochemie.
In einem Blutausstrich werden Blutzellen auf Anomalien hin untersucht, sowohl hinsichtlich ihrer Morphologie als auch ihrer Anzahl. Ein Blutausstrich dient der Erkennung, Diagnose und Überwachung von Defiziten, Erkrankungen und Störungen, die mit der Bildung, Funktion und Lebensdauer der Blutzellen zusammenhängen. In der Regel wird die mikroskopische Analyse eines dünnen Blutausstrichs vorgenommen, wenn das Blutbild oder das Differentialblutbild anormale Ergebnisse liefern. In Situationen, in denen ein Bluttest anormale Ergebnisse zeigt oder nicht genügend Informationen zum vermuteten Problem liefert, kann eine Knochenmarkuntersuchung erforderlich sein. Hiermit werden bestimmte Erkrankungen des Bluts oder des blutbildenden Systems diagnostiziert und überwacht. Fragmente aus dem Knochenmark werden in der Regel separiert oder konzentriert und dann auf mehreren Objektträgern aspiriert. Zum Anfertigen der Ausstriche werden diese Fragmente behutsam zusammengedrückt. Ergänzend werden Blutausstriche aus dem Knochenmark angefertigt.
Färbemethoden und ihre Rolle in der Diagnostik
Eine wesentliche Technik in der mikroskopischen Blutuntersuchung ist die Färbung der Blutausstriche, um die Zellbestandteile sichtbar zu machen. Die meisten Färbungsmethoden beruhen auf panoptischen Färbungen nach Pappenheim sowie auf Romanowsky-Färbungen, beispielsweise die Wright-Färbung, die Leishman-Färbung oder die Giemsa-Färbung.
Bei der Pappenheim-Färbung werden die Präparate mit konzentrierter May-Grünwald-Lösung fixiert, mit verdünnter May-Grünwald-Lösung gefärbt und mit Giemsa-Lösung gegengefärbt. Die Zellkerne sind in der Probe rotviolett, das Plasma der Lymphozyten und der Monozyten ist bläulich und das Plasma der Granulozyten ist blassrosa.
Die Giemsa-Färbung ist eine Differentialfärbung, die eine Mischung der Farbstoffe Azur, Methylenblau und Eosin umfasst. Die Färbung ergibt ein Differentialblutbild, in dem die nukleäre und die zytoplasmische Morphologie der verschiedenen Blutzellen unterschieden werden. Rote Blutkörperchen werden rosa eingefärbt, Blutplättchen blassrosa, das Zytoplasma der Lymphozyten blau und das Chromatin der Leukozyten magenta. Mit der Giemsa-Färbung lassen sich auch Blutparasiten wie Malariaparasiten und andere Spirochäten sowie Protozoen einfärben.
Bei der Wright-Färbung stehen mehrere Varianten zur Auswahl, die sich aus dem unterschiedlichen Verhalten der Färbung und des Puffers sowie aus der unterschiedlichen Filmdicke ergeben. Bei richtiger Ausführung erscheinen die roten Blutkörperchen gelblich rot und die Neutrophilen zeigen dunkelviolette Kerne, rotviolette Granula und blassrosafarbenes Zytoplasma. Diese Methode ist beim Differentialblutbild weit verbreitet, das in der Regel angefordert wird, wenn Verdacht auf eine Infektion oder bestimmte schwere Erkrankungen besteht.
Mikroskopietechniken: Neue Möglichkeiten in der Labordiagnostik
Für die Untersuchung eines peripheren Blutausstrichs wählt ein Hämatologe zunächst ein Objektiv mit geringer Vergrößerung, in der Regel 20× oder 10×. So erhält er einen Überblick über die Dichte der roten und weißen Blutkörperchen, die Anzahl der Erythrozyten, die Farbe sowie über die allgemeine Morphologie und etwaige auffällige Zelleinschlüsse. Bei stärkerer Vergrößerung (in der Regel 63× oder 100×, bei Knochenmark ggf. 40×) wird ein manuelles Differentialblutbild ausgezählt und die Morphologie der roten und weißen Blutkörperchen visualisiert (u. a. zur Untersuchung auf Vorliegen von Einschlüssen oder Krankheitserregern). Eine sehr gute Unterscheidung der Zelltypen und der deutlich sichtbaren zellulären Details ist unabdingbare Voraussetzung für die Hämatologie. Hämatologen sind auf kristallklare Bilder angewiesen, auf denen morphologische Details wie filigrane Granula, stäbchenförmige Einschlüsse, Unregelmäßigkeiten der Zellmembran oder Risse im Zellkern ersichtlich werden. Auch auf die höchstmögliche Farbtreue kommt es an, wenn Blutausstriche und Knochenmarkpräparate untersucht werden sollen. Neben der Hellfeldmikroskopie kommen bei bestimmten Proben auch die Phasenkontrast- und die Polarisationsmikroskopie zum Einsatz. Hämatologische Färbungen bewirken eine gute Transparenz der Probe und verleihen den Zellmerkmalen bestimmte Farben, doch die optische Qualität des Mikroskops, die Wiedergabetreue der angeschlossenen Kamera für die digitale Dokumentation und das ergonomische Design des Instruments können die Untersuchung der Patientenproben entscheidend beeinflussen.
Es ist für uns eine Selbstverständlichkeit, dass wir verantwortungsvoll mit Ihren personenbezogenen Daten umgehen. Sofern wir personenbezogene Daten von Ihnen erheben, verarbeiten wir diese unter Beachtung der geltenden Datenschutzvorschriften. Detaillierte Informationen finden Sie in unserer Datenschutzerklärung.
Einwilligung in die Verwendung von Daten zu Werbezwecken
Ich bin damit einverstanden, dass die Vogel Communications Group GmbH & Co. KG, Max-Planckstr. 7-9, 97082 Würzburg einschließlich aller mit ihr im Sinne der §§ 15 ff. AktG verbundenen Unternehmen (im weiteren: Vogel Communications Group) meine E-Mail-Adresse für die Zusendung von redaktionellen Newslettern nutzt. Auflistungen der jeweils zugehörigen Unternehmen können hier abgerufen werden.
Der Newsletterinhalt erstreckt sich dabei auf Produkte und Dienstleistungen aller zuvor genannten Unternehmen, darunter beispielsweise Fachzeitschriften und Fachbücher, Veranstaltungen und Messen sowie veranstaltungsbezogene Produkte und Dienstleistungen, Print- und Digital-Mediaangebote und Services wie weitere (redaktionelle) Newsletter, Gewinnspiele, Lead-Kampagnen, Marktforschung im Online- und Offline-Bereich, fachspezifische Webportale und E-Learning-Angebote. Wenn auch meine persönliche Telefonnummer erhoben wurde, darf diese für die Unterbreitung von Angeboten der vorgenannten Produkte und Dienstleistungen der vorgenannten Unternehmen und Marktforschung genutzt werden.
Meine Einwilligung umfasst zudem die Verarbeitung meiner E-Mail-Adresse und Telefonnummer für den Datenabgleich zu Marketingzwecken mit ausgewählten Werbepartnern wie z.B. LinkedIN, Google und Meta. Hierfür darf die Vogel Communications Group die genannten Daten gehasht an Werbepartner übermitteln, die diese Daten dann nutzen, um feststellen zu können, ob ich ebenfalls Mitglied auf den besagten Werbepartnerportalen bin. Die Vogel Communications Group nutzt diese Funktion zu Zwecken des Retargeting (Upselling, Crossselling und Kundenbindung), der Generierung von sog. Lookalike Audiences zur Neukundengewinnung und als Ausschlussgrundlage für laufende Werbekampagnen. Weitere Informationen kann ich dem Abschnitt „Datenabgleich zu Marketingzwecken“ in der Datenschutzerklärung entnehmen.
Falls ich im Internet auf Portalen der Vogel Communications Group einschließlich deren mit ihr im Sinne der §§ 15 ff. AktG verbundenen Unternehmen geschützte Inhalte abrufe, muss ich mich mit weiteren Daten für den Zugang zu diesen Inhalten registrieren. Im Gegenzug für diesen gebührenlosen Zugang zu redaktionellen Inhalten dürfen meine Daten im Sinne dieser Einwilligung für die hier genannten Zwecke verwendet werden. Dies gilt nicht für den Datenabgleich zu Marketingzwecken.
Recht auf Widerruf
Mir ist bewusst, dass ich diese Einwilligung jederzeit für die Zukunft widerrufen kann. Durch meinen Widerruf wird die Rechtmäßigkeit der aufgrund meiner Einwilligung bis zum Widerruf erfolgten Verarbeitung nicht berührt. Um meinen Widerruf zu erklären, kann ich als eine Möglichkeit das unter https://contact.vogel.de abrufbare Kontaktformular nutzen. Sofern ich einzelne von mir abonnierte Newsletter nicht mehr erhalten möchte, kann ich darüber hinaus auch den am Ende eines Newsletters eingebundenen Abmeldelink anklicken. Weitere Informationen zu meinem Widerrufsrecht und dessen Ausübung sowie zu den Folgen meines Widerrufs finde ich in der Datenschutzerklärung, Abschnitt Redaktionelle Newsletter.